Les traumatismes de la cheville
Docteur Grégory PRODHOMME
SEARL chirurgie de la main et du pied
EPIDEMIOLOGIE
Motif fréquent de consultation, 8,3% des traumatismes aigus, 6000 traumatismes par jour
Pathologie essentiellement masculine
Entorse : pathologie prépondérante (41%)
MECANISME LESIONNEL
Ø Traumatismes directs : sport, accident de voie publique, réception d’un lieu élevé…
Ø Traumatismes indirects
Mécanisme d’inversion très fréquent -> entorse
Mécanisme d’éversion plus rare -> fractures
Mécanismes d’hyperflexion plantaire -> lésions capsulo ligamentaires antérieures et osseuses postérieures
Ø Mécanismes mixtes (sport)
RECHERCHE DE COMPLICATIONS
Apprécier l’état cutané : une ouverture cutanée est une urgence chirurgicale
Perte de l’axe jambe-pied
Rechercher des complications vasculo nerveuses
Rechercher des lésions étagées
PALPATION
Critères d’Ottawa
Base M5
Os naviculaire
6 cm inférieurs du bord post malléole latérale
6 cm inférieurs bord post de la malléole médiale

EXAMEN CLINIQUE
Mobilité active et passive
Recherche de mouvements anormaux
Contractions contrariées et isométriques : servent à rechercher des lésions musculaires à type d’élongation, de claquage ou de crampes.
BILAN RADIOGRAPHIQUE
Orienté par la clinique et les critères d’Ottawa
Cheville de face et de profil
Cheville de face à 20° de rotation interne
Pied de face et de ¾
Les autres techniques sont réservées aux tableaux chroniques ou sportifs de haut niveau
A) ENTORSES DU LLE
1)Littérature actuelle
Les règles d’Ottawa restent pertinentes pour demander un bilan radiographique
Elles devraient pouvoir être utilisées chez l’enfant et l’adolescent
Le risque de passer à coté d’une fracture de cheville ou du pied est limité si on respecte ces critères et si les patients sont revus à J5 pour réévaluer l’examen clinique
2)Traitement
Protocole GREC
Glaçage local puis 4 fois par jour
Repos cannes anglaises
Elévation : surélever autant que possible
Compression : attelles préfabriquées
Les orthèses stabilisatrices paraissent le traitement le plus adapté, y compris pour les entorses sévères, elles permettent de bloquer les mouvements de rotation et de valgus-varus en autorisant la flexion-extension
Supériorité du traitement fonctionnel y compris chez les sportifs (Pilardeau 1996)
Kinésithérapie
Aussi précoce que possible, dès cessation de la douleur, 10 à 20 séances
Traitements médicamenteux
AINS locaux aussi efficaces que per os
Antalgiques
HBPM si contention stricte
B) ENTORSE MEDIALE
Rare, plus souvent tableau grave avec lésions osseuses tibiales ou fibulaires
Un diastasis tibio fibulaire distal doit faire suspecter une fracture de la fibula
Si isolée, traitement fonctionnel (attelle, décharge, glaçage)

C) FRACTURES BIMALLEOLAIRES
Fracture des deux malléoles
Fracture isolée de la malléole interne (nécessite une radiographie de genou pour rechercher une fracture de Maisoneuve qui correspond à une fracture de la tête de la fibula)
Fracture malléolaire latérale avec entorse interne

D) FRACTURES DU PILON TIBIAL

Fracture articulaire donc dans la très grande majorité des cas, traitement chirurgical
E) FRACTURE DE L’ARRIERE PIED
Fractures du calcanéum
Fractures du talus

F) FRACTURES DE L’AVANT PIED
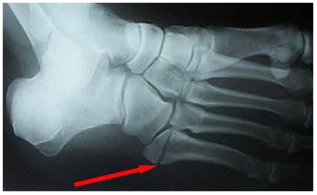
Fractures de la base de M5
Si peu déplacée, traitement orthopédique possible
Si déplacée, traitement chirurgical car risque de pseudarthrose

Entorse du Chopart ou Lisfranc
G) PATHOLOGIE TENDINEUSE
1)Rupture du tendon d’Achille
Douleur sur le trajet tendineux (sensation d’un coup de pied à la face post du talon)
Signe = Thompson +++ (absence d’équinisme de la cheville lors de la contraction du mollet par la main de l’examinateur recherché chez un patient en décubitus ventral avec le pied dépassant de la table)
Traitement chirurgical souvent (mini-invasif, ciel ouvert..)
Traitement orthopédique
2)Luxation des tendons péroniers
Mécanisme identique à l’entorse LLE
Ottawa –
Douleurs plus hautes et plus postérieures
Diagnostic clinique : luxation manuelle des péroniers latéraux
Traitement orthopédique en aigu, chirurgical si négligé.